Implantologie
Wat is een implantaat?
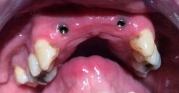
Een implantaat is een kunstwortel van titanium of zirkonium die in het kaakbot wordt geplaatst ter vervanging van een natuurlijke tandwortel. Hierop kan een kroon, brug of klikgebit worden bevestigd. Het voelt natuurlijk aan en blijft stevig op zijn plaats.
![]()
Wanneer is een implantaat geschikt?
Een implantaat is geschikt als u één of meerdere tanden of kiezen bent verloren, bijvoorbeeld door een ongeluk, ontsteking of breuk. Ook als een kunstgebit niet goed blijft zitten, biedt een klikgebit op implantaten een comfortabele en stabiele oplossing.
Veel zorgverzekeraars vergoeden een klikgebit grotendeels, met een eigen bijdrage van ongeveer €250.
Voordelen van implantaten
-
Natuurlijk gevoel en uiterlijk
-
Geen schade aan gezonde tanden
-
Voorkomt botverlies
-
Duurzaam en betrouwbaar
-
Klikgebit blijft stevig zitten
De behandeling
Na een mondonderzoek wordt het implantaat met moderne techniek in het kaakbot geplaatst. De ingreep duurt meestal niet langer dan 15 minuten en is vrijwel pijnloos. Soms kan een prothese al binnen twee uur worden vastgezet.
Bij DenTex werken we met een innovatieve techniek waarbij geen snijwonden of hechtingen nodig zijn. Zo verloopt het herstel snel en comfortabel.
Vier goede redenen om te kiezen voor implantaten
Esthetische oplossing
Implantaten zien eruit als natuurlijke tanden en voelen ook zo aan. Ze bieden een fraai en duurzaam alternatief voor ontbrekende tanden zonder zichtbare metalen of plaatjes.
Meer comfort in het dagelijks leven
Bij conventionele protheses zijn vaak plaatjes nodig die ongemak veroorzaken. Met implantaten zijn die overbodig. U kunt weer vrijuit praten, lachen en eten zonder zorgen over loszittende tanden.
Botbehoud
Implantaten stimuleren het kaakbot tijdens het kauwen. Zo blijft het bot in goede conditie en wordt gezichtsvervorming door botverlies voorkomen. Zonder implantaten kan het bot langzaam slinken.
Behoud van gezonde tanden
Bij een brug worden vaak gezonde tanden naast het gat bijgeslepen. Met een implantaat blijven die tanden volledig intact, wat beter is voor de algehele mondgezondheid.


Implantaten zonder operatie
Dankzij een nieuwe, geavanceerde techniek kunnen wij implantaten in veel gevallen plaatsen zonder een belastende operatie. Deze non-invasieve methode maakt het mogelijk om uw prothese al binnen één dag comfortabel en stevig vast te zetten.
Een slecht zittend kunstgebit kan met 4 implantaten pijnloos en binnen twee uur worden gefixeerd. Deze behandeling is snel, veilig en zonder snijwonden of hechtingen.
Wij zijn gespecialiseerd in deze werkwijze. Neem gerust contact met ons op voor meer informatie via het contactformulier of bel tussen 09.00 en 12.00 uur met onze assistente.


