Parodontologie
Wat is gingivitis?
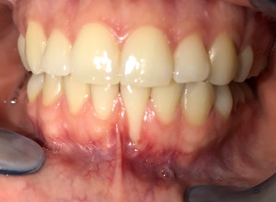
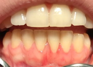
Gingivitis is een ontsteking van het tandvlees, veroorzaakt door tandplak die zich ophoopt langs de tandvleesrand en tussen de tanden. Bacteriën in de plak irriteren het tandvlees, waardoor het rood, gezwollen en soms bloedend wordt.
Gingivitis is omkeerbaar, maar als het niet op tijd wordt behandeld, kan het overgaan in parodontitis.
Wat is parodontitis?
Parodontitis is een ernstigere ontsteking waarbij ook het kaakbot wordt aangetast. Hierdoor kunnen tanden en kiezen los gaan staan of zelfs verloren gaan. Behandeling is essentieel om verdere schade te voorkomen en uw gebit gezond te houden.
Flapoperatie
Als tandsteen en ontsteking zich dieper onder het tandvlees bevinden en niet goed bereikbaar zijn voor een reiniging, kan een flapoperatie nodig zijn.
Bij deze behandeling wordt onder plaatselijke verdoving het tandvlees tijdelijk opzijgeschoven. Zo kunnen we het ontstekingsweefsel en diepgelegen tandsteen goed verwijderen, het worteloppervlak glad maken en het bot corrigeren.
Na de behandeling wordt het tandvlees gehecht. De pockets worden minder diep, waardoor u weer beter zelf kunt poetsen. Houd er rekening mee dat tanden wat langer kunnen lijken en gevoelig kunnen worden.
Regeneratieve parodontale therapie
Moderne technieken maken het mogelijk om beschadigd tandvlees of kaakbot gedeeltelijk te herstellen.
Behandelmethoden:
-
GTR (Guided Tissue Regeneration): stimuleert de groei van gezond tandvlees met behulp van een collageenmatrix.
-
GBR (Guided Bone Regeneration): stimuleert botgroei met kunstbot, lichaamseigen bot en groeifactoren, ondersteund door speciale membranen.
Deze therapieën helpen het weefsel weer te herstellen en de functie en esthetiek van uw gebit te verbeteren.
Cosmetische tandvleesbehandeling
Soms trekt het tandvlees terug, bijvoorbeeld door een strak lipbandje of verkeerd poetsen. Hierdoor kunnen tandhalzen bloot komen te liggen, wat gevoeligheid en risico op tandverlies veroorzaakt.
Behandelmethoden:
-
Slijmvliestransplantatie
-
Slijmvlieslappen
-
Tunnelingtechniek
-
Pinhole-techniek
Deze technieken zorgen ervoor dat het tandvlees weer op een natuurlijke manier over de tandhalzen wordt gelegd, voor een gezonder en mooier resultaat.

